Valproic acid metabolism and obesity: an interview with Dr. Namandjé Bumpus, Johns Hopkins Medicine

Interview conducted by April Cashin-Garbutt, BA Hons (Cantab)

Namandjé Bumpus ARTICLE IMAGE

Please can you give a brief introduction to valproic acid? What conditions is this drug used to treat?

Valproic acid is one of the most widely prescribed drugs for the treatment of epilepsy. It has also been shown to be effective for the treatment of mood disorders and migraine headaches.

What prompted your research into valproic acid metabolism and what were your main aims of this study?

Knowing that valproic acid is primarily metabolized by the cytochrome P450 enzymes, which are highly abundant in the liver, we were interested in exploring the effects of both valproic acid and its byproducts on liver cell function.

We first identified valproic acid and metabolites as novel activators of AMP-activated protein kinase, an enzyme involved in the regulation of metabolic processes, and then sought to examine the cellular and molecular impact.

Source: Johns Hopkins Medicine

Could you please outline the cytochrome P450 family of enzymes? How many of these enzymes are thought to work on valproic acid?

The cytochrome P450 enzymes are a major enzyme class involved in drug metabolism and are most abundant in the liver.

The majority of FDA approved drugs have been shown to be metabolized by the cytochrome P450 enzymes.

In humans, there are 57 known cytochrome P450 enzymes and while many may contribute to valproic acid metabolism, there are 3 which are primarily responsible for generating the major byproducts of valproic acid (CYP2A6, CYP2B6, CYP2C9).

Your recent research found that valproic acid can activate the protein AMPK. What significance does this finding have?

AMPK is a major regulator of cellular energy and its activation may occur as a result of exercise, nutrients, or from certain drugs.

As the body uses energy, we have several mechanisms in place to re-establish the energy needed for fuel. Activation of AMPK is one of these mechanisms.

Since metabolic syndrome, of which obesity is a key risk factor, results in part from a dysfunction of energy utilization activators of AMPK can be used to treat metabolic syndrome.

clip_image002

A normal mouse (left) next to an obese mouse (right). Courtesy of The Jackson Laboratory.

How did you find out whether the byproducts of valproic acid or valproic acid itself were the molecules responsible for activating AMPK?

Knowing that valproic acid was metabolized largely by the cytochrome P450 enzymes, we used an inhibitor of these enzymes and saw that AMPK was no longer activated following treatment with valproic acid.

Further, treating cells with the byproducts of valproic acid showed a greater activation of AMPK at 1/40th the concentration of that seen with valproic acid. These results combined demonstrated that the byproducts were playing a major role in the activation of AMPK.

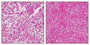
clip_image004

The liver cells (magenta) of untreated obese mice (left) contain many large droplets of fat (white) while those of obese mice treated with valproic acid (right) have much less fat accumulation. Used with permission. Lindsay B. Avery and Namandjé N. Bumpus. Valproic Acid Is a Novel Activator of AMP-Activated Protein Kinase and Decreases Liver Mass, Hepatic Fat Accumulation, and Serum Glucose in Obese Mice. Mol Pharmacol January 2014; 85:1-10; doi:10.1124/mol.113.089755

What impact did valproic acid have on the blood sugar levels of obese mice and the fat accumulation levels of their livers? How did this compare to the untreated mice?

Treatment of obese mice with valproic acid resulted in decreased blood glucose levels as compared to untreated mice. Additionally, there was a notable reduction in fat content in the livers of the valproic acid treated mice as compared to the untreated mice.

Are there plans to trial valproic acid in obese people?

We don’t have a trial currently underway, but it is something that we will consider and likely will perform further studies to assess the utility of doing so in the near future.

What further research is needed to improve our understanding of valproic acid metabolism?

Of note, valproic acid has been associated with an increase in weight in certain individuals receiving the drug for therapy. In our study we analyzed the impact of valproic acid on obese animals.

These animals are physiologically different than healthy weight animals. In addition, what we actually measured and reported was a decrease in biochemical endpoints such as serum glucose and liver fat content that have yet to be assessed in individuals that have gained weight following taking valproic acid.

Since the physiology of an obese person (or other animal) is different than that of a lean person it would be of interest to us to determine whether the outcomes that we observed are unique to obesity by comparing results in obese mice versus lean mice.

Where can readers find more information?

There is a large body of literature available in scientific journals to learn more about AMPK and valproic acid. Our manuscript describing the studies that we performed have been reported in the January 2014 issue of Molecular Pharmacology.

About Dr. Namandjé Bumpus

Namandjé Bumpus BIG IMAGENamandjé N. Bumpus earned a PhD in pharmacology from the University of Michigan and performed thesis research in the laboratory of Dr. Paul F. Hollenberg where she investigated the effect of a cytochrome P450 genetic mutation present in certain individuals on the metabolism of clinically relevant drugs including the anti-depressant bupriopion and the anti-HIV drug efavirenz.

As a postdoctoral fellow with Dr. Eric F. Johnson in the Department of Molecular and Experimental Medicine at The Scripps Research Institute, Namandjé studied the gene regulation of cytochrome P450s that play a role in the metabolism of fatty acids.

Namandjé is currently an Assistant Professor in the Department of Pharmacology & Molecular Sciences and the Department of Medicine - Division of Clinical Pharmacology at the Johns Hopkins University School of Medicine.

Her research program is focused on investigating the contribution of the metabolites of drugs to both the therapeutic benefits and adverse events associated with the drug itself.

0 comments:

Post a Comment